
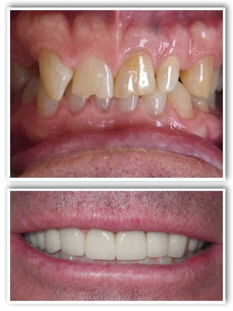
Our gallery of smile transformations by Drs. Tracy & John Taddey range from simple conservative 1 tooth treatments to complex total makeovers.
Smile Design is a special appointment, in more complex cases, where you and the doctor personally communicate what you wish to be your final smile appearance. This is done before any permanent changes to your existing smile are done.
Click the images below for a larger view.

























